본문내용 바로가기

  • 게시판
  • 치료전후사례
Total 8건 1 페이지

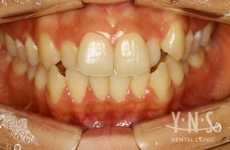
    NO. 8

    덧니 치료전후 사례

    본 환자 사진은 교정전문의 이태연 원장님께서 직접 치료하신 증례입니다. 전후환자사진은 동일인을 촬영한 것입니다. 촬영시기 치료전 …

    구분 덧니조회수 13

    NO. 7

    덧니 치료전후 사례

    본 환자 사진은 교정전문의 이태연 원장님께서 직접 치료하신 증례입니다. 전후환자사진은 동일인을 촬영한 것입니다. 촬영시기 치료전 …

    구분 덧니조회수 15

    NO. 6

    덧니 치료전후 사례

    본 환자 사진은 교정전문의 이태연 원장님께서 직접 치료하신 증례입니다. 전후환자사진은 동일인을 촬영한 것입니다. 촬영시기 치료전 …

    구분 덧니조회수 9

    NO. 5

    덧니 치료전후 사례

    본 환자 사진은 교정전문의 이태연 원장님께서 직접 치료하신 증례입니다. 전후환자사진은 동일인을 촬영한 것입니다. 촬영시기 치료전 …

    구분 덧니조회수 12

    NO. 4

    덧니 치료전후 사례

    본 환자 사진은 교정전문의 이태연 원장님께서 직접 치료하신 증례입니다. 전후환자사진은 동일인을 촬영한 것입니다. 촬영시기 치료전 …

    구분 덧니조회수 10

    NO. 3

    덧니 치료전후 사례

    본 환자 사진은 교정전문의 이태연 원장님께서 직접 치료하신 증례입니다. 전후환자사진은 동일인을 촬영한 것입니다. 촬영시기 치료전 …

    구분 덧니조회수 9

    NO. 2

    덧니 치료전후 사례

    본 환자 사진은 교정전문의 이태연 원장님께서 직접 치료하신 증례입니다. 전후환자사진은 동일인을 촬영한 것입니다. 촬영시기 치료전 …

    구분 덧니조회수 8

    NO. 1

    덧니 치료전후 사례

    본 환자 사진은 교정전문의 이태연 원장님께서 직접 치료하신 증례입니다. 전후환자사진은 동일인을 촬영한 것입니다. 촬영시기 치료전 …

    구분 덧니조회수 10