본문내용 바로가기
인사말
의료진소개
학술활동
병원둘러보기
진료시간 및 수가
오시는길
교정전문치과
교정전문의 진료
3D 시뮬레이션
엑셀덴트
첨단장비
정품재료
멸균소독시스템
덧니
돌출입
무턱
치아사이공간
비대칭
개방교합
과개교합
반대교합
매복치
보철을 위한 교정
재교정
교정치료 대상과 시기
교정치료 진행과정
교정장치 종류
스피디 프리미엄 급속교정
비발치 프리미엄 교정
안보이는 프리미엄 투명교정
소아청소년 성장기 교정
꽃중년 프리미엄 교정
프리미엄 양악수술 교정
프리미엄 치아미백
온라인 전문의 상담
카톡 전문의 상담
온라인 예약
자주 묻는 질문
교정치료 주의사항
수가표
교정치료후기
리얼교정일기
YNS 스토리
교정치료정보
언론보도
공지사항
증상별 교정 프로그램
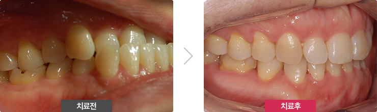
반대교합
덧니
돌출입
무턱
치아사이공간
비대칭
개방교합
과개교합
반대교합
매복치
보철을 위한 교정
재교정